Muchas veces recibimos los resultados de nuestros exámenes médicos y no entendemos bien qué significan. Aparecen palabras técnicas, números o siglas que pueden generar ansiedad.
Entender lo básico no es para autodiagnosticarse, sino para tener claridad, sentir más calma y saber qué preguntas hacer. Aquí te explicamos, de forma simple y paso a paso, cómo leer los exámenes más comunes de mama: mamografía, ecografía y biopsia.
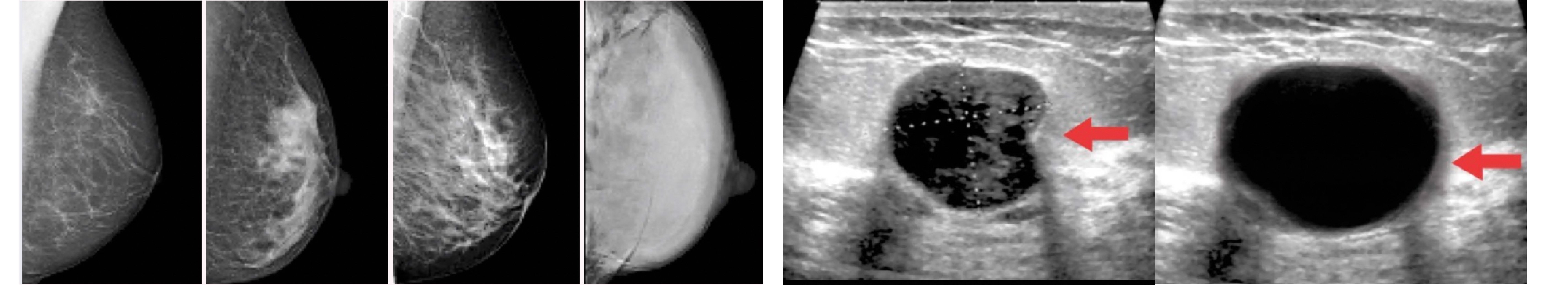
¿Para qué sirven la mamografía y la ecografía mamaria?
Antes de ver resultados, es clave entender qué busca cada examen y por qué muchas veces se piden juntos.
Mamografía
La mamografía es una radiografía especial de la mama. Sirve para detectar cambios muy pequeños que muchas veces no se pueden sentir al tacto, como:
- Calcificaciones
- Sombras
- Nódulos
- Cambios en la forma del tejido
Piensa en la mamografía como una foto general del interior del pecho, que permite ver señales tempranas de cambio, incluso antes de que haya síntomas.

Ecografía
La ecografía usa ondas de sonido (no radiación) para ver el interior de la mama con más detalle. Generalmente se usa cuando:
- La mamografía mostró algo que hay que mirar mejor
- Se palpó un bulto en el examen físico
Este examen ayuda a saber si un bulto es sólido, lleno de líquido (quiste) o mixto. Lo que es clave para decidir qué hacer después.

¿Por qué se hacen ambos?
Porque se complementan, cada uno muestra aspectos distintos de la mama:
- La mamografía es mejor para detectar cambios sutiles y calcificaciones.
- La ecografía permite entender mejor los bultos y el tejido, sobre todo en mamas densas o mujeres más jóvenes.
Usados juntos, entregan una visión más completa y aumentan la precisión del diagnóstico.
Mamografia y ecografia mamaria.
¿Qué es el BI-RADS y por qué aparece en tu informe?
BI-RADS es un sistema internacional que usan los médicos para clasificar los hallazgos de la mamografía o ecografía. Todos los informes terminan con un número del 0 al 6, que indica qué tan claro o preocupante es lo que se observó.
- BI-RADS 0 | Estudio incompleto. Se necesita más información. El radiólogo vio algo poco claro y pide más exámenes o comparar con mamografías anteriores.
- BI-RADS 1 | Negativo. Todo se ve normal. No hay hallazgos ni señales de problema.
- BI-RADS 2 | Hallazgo benigno. Se observa algo, pero es completamente benigno (no es cáncer). Puede ser un quiste, cicatriz o un cambio previo.
- BI-RADS 3 | Probablemente benigno. Casi seguro que es benigno (menos del 2% de riesgo). Se recomienda control en 6–12 meses para confirmar que no cambia.
- BI-RADS 4 | Sospecha de anormalidad. Puede ser cáncer, por lo que se recomienda biopsia.
- 4A baja probabilidad (2–10%)
- 4B probabilidad moderada (10–50%)
- 4C alta probabilidad (50–95%)
- BI-RADS 5 | Alta sospecha de cáncer. Muy probable que sea cáncer (más del 95%). Se debe realizar biopsia.
- BI-RADS 6 | Cáncer confirmado por biopsia. Ya se sabe por biopsia que es cáncer. La imagen sirve para evaluar tratamiento y evolución.

¿Qué examen confirma si hay o no cáncer?
La biopsia es el único examen que confirma o descarta un cáncer. Consiste en tomar una pequeña muestra del tejido mamario para analizarla al microscopio.
Cuando un informe recomienda realizarla, es normal sentir preocupación, pero su objetivo es dar una respuesta clara. La biopsia permite saber:
- Si el hallazgo es benigno o maligno.
- Qué tipo de lesión o cáncer es.
- Qué tratamientos podrían funcionar mejor.
¿Por qué es importante entender tus exámenes?
Entender tus exámenes no es para que te asuste o diagnostiques a ti misma, sino para que:
- Puedas participar activamente en tu diagnóstico y tratamiento.
- Hagas preguntas con confianza.
- Sientas menos incertidumbre en el proceso.
Los BI-RADS y los exámenes no buscan alarmar, sino ordenar la información para que tú y tu equipo médico puedan tomar decisiones informadas, juntas.

Deja un comentario